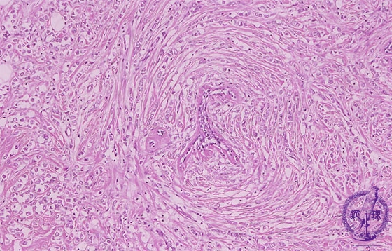
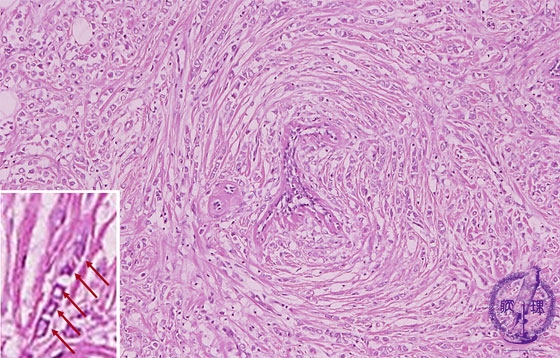
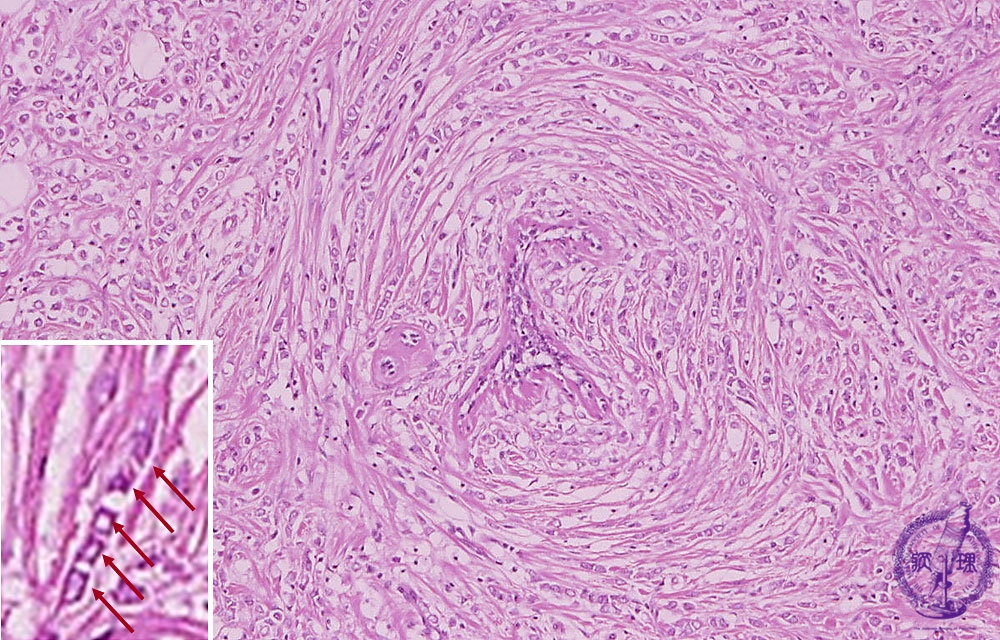
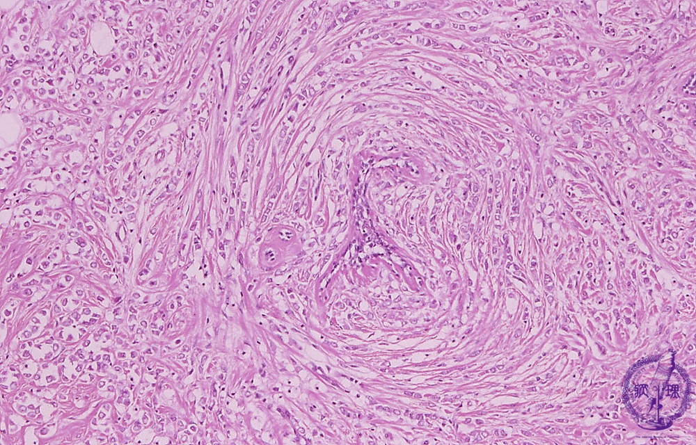
- 14.Breast
- (7)Invasive lobular carcinoma
Microscopic image(HE stain, high power view):Stromal invasion of lobular carcinoma. Relatively small carcinoma cells with high N/C ratio infiltrated to the stromain a so-called “Indian-file”manner(inset, arrow).This finding is characteristic of invasive lobular carcinoma.
Click the image to see the enlarged image.












