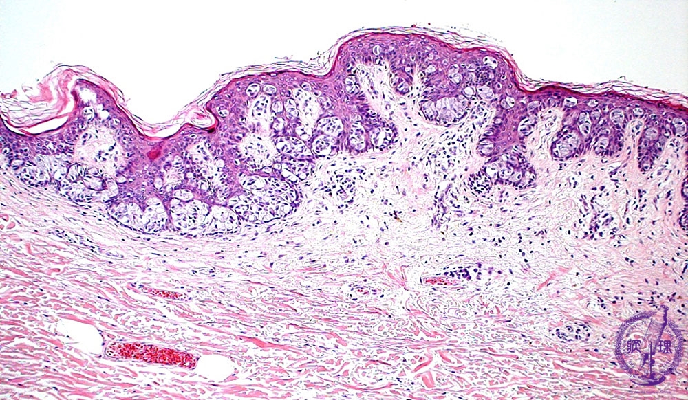
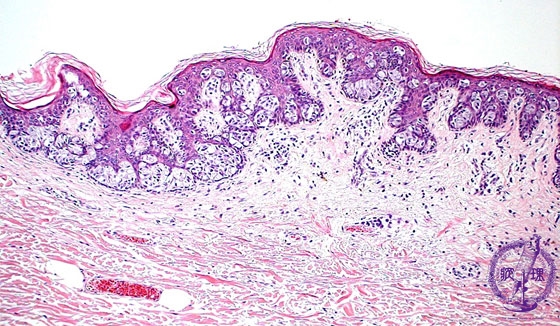
Microscopic image(HE stain, low power view):Duct-derived adenocarcinoma cells (Paget cells) propagated in epidermis. Those cells are large with clear and abundant cytoplasm.

Click the image to see the enlarged image.

  • There is no guidance by arrows.