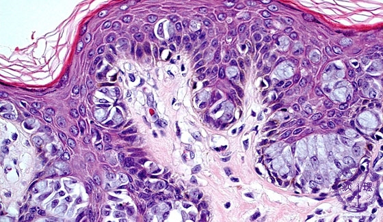
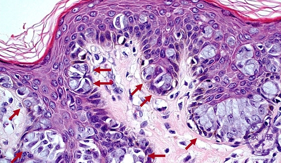
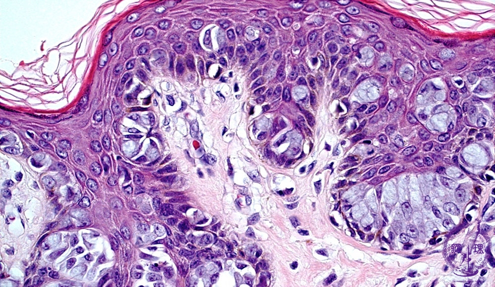
- 14.Breast
- (9)Paget’s disease
Microscopic image(HE stain, high power view):Paget cells can be detected in the full thickness of the skin, but with a strong tendancy to stay within the epidermis. The large nuclei of Paget cells with prominent nucleoli, often pushed aside by intracellular mucous.
Click the image to see the enlarged image.













