- 15.Female genital organs
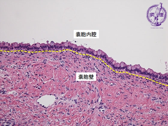
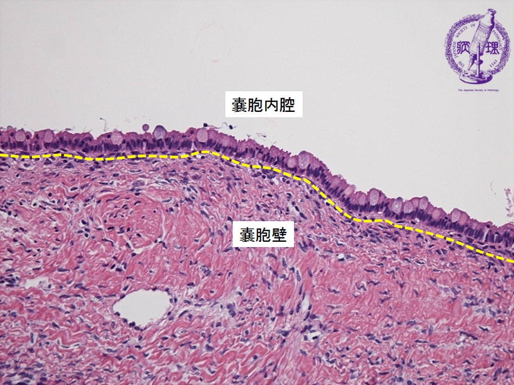
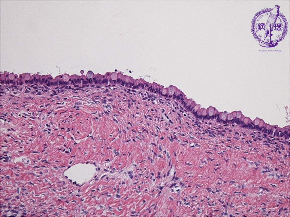
- (7)Mucinous cystadenoma
Histology (HE stain, high power): Single layer of columnar cells (yellow dotted line) in inner surface of cyst. The cells with clear cytoplasm and the nuclei are located at the side of basement membrane.
Click the image to see the enlarged image.














