- 15.Female genital organs
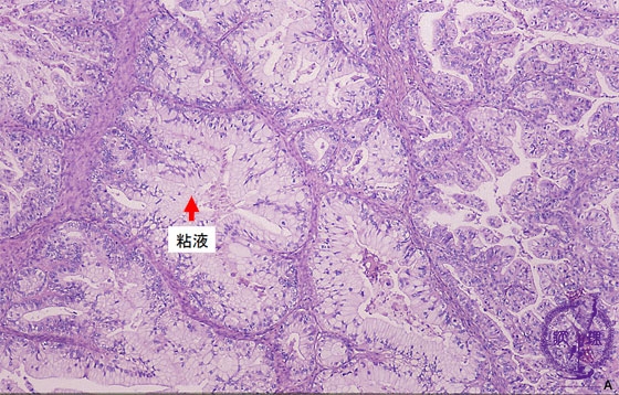
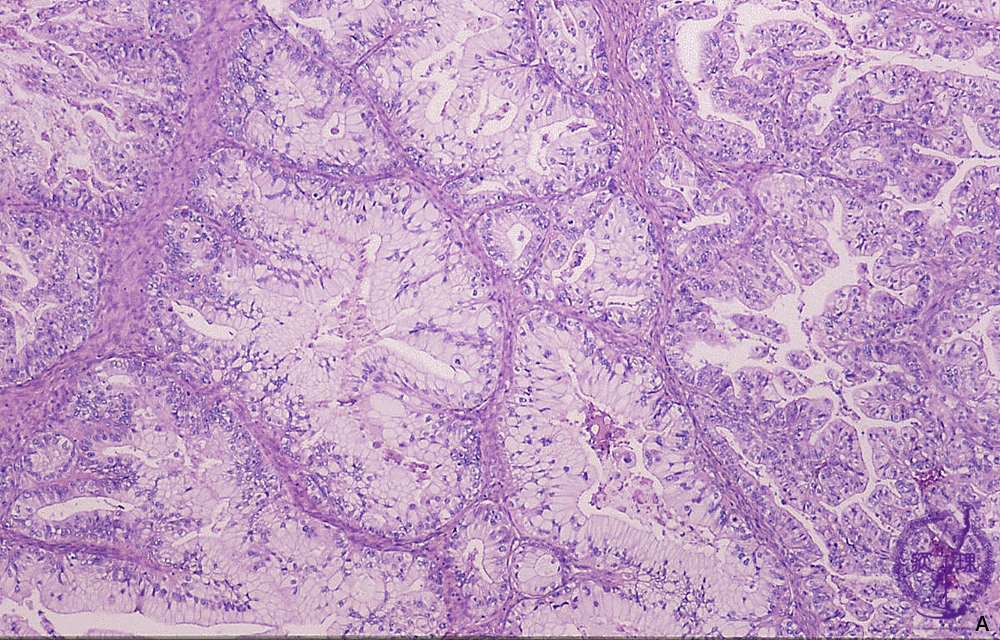
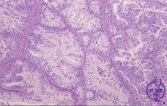
- (7)Mucinous cystadenocarcinoma of the ovary
Histology (HE stain, intermediate power): Carcinoma cells proliferated in tubular structure with producing abundant mucin.
Click the image to see the enlarged image.
Histology (HE stain, intermediate power): Carcinoma cells proliferated in tubular structure with producing abundant mucin.
Click the image to see the enlarged image.