- 15.Female genital organs
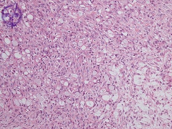
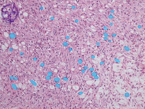
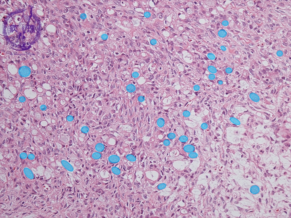
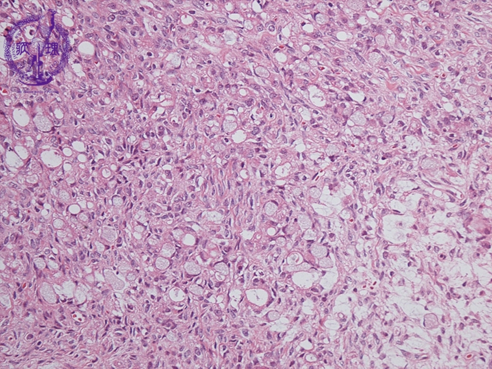
- ★(12)Krukenberg tumor
Histology (HE stain, low power): Signet-ring cell carcinoma proliferated with scattering pattern (light blue). Fibroblasts demonstrated reactive proliferation in interstitium.
Click the image to see the enlarged image.













