- 15.Female genital organs
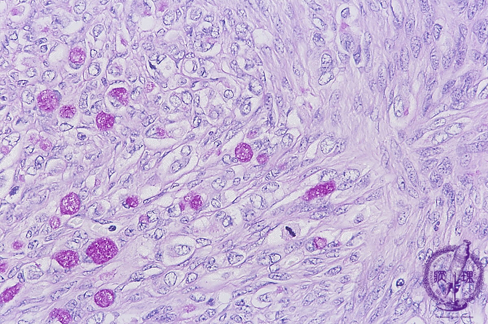
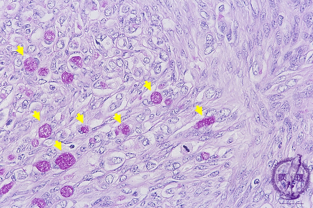
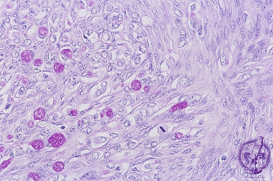
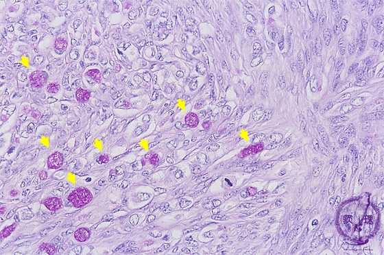
- ★(12)Krukenberg tumor
Histology (PAS stain with diastase digestion, high power): Mucin of signet-ring cells was stained in red-purple.
Click the image to see the enlarged image.
Histology (PAS stain with diastase digestion, high power): Mucin of signet-ring cells was stained in red-purple.
Click the image to see the enlarged image.