- 15.Female genital organs
- (14)Choriocarcinoma
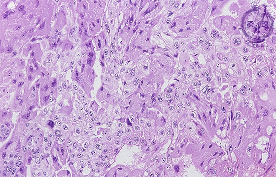
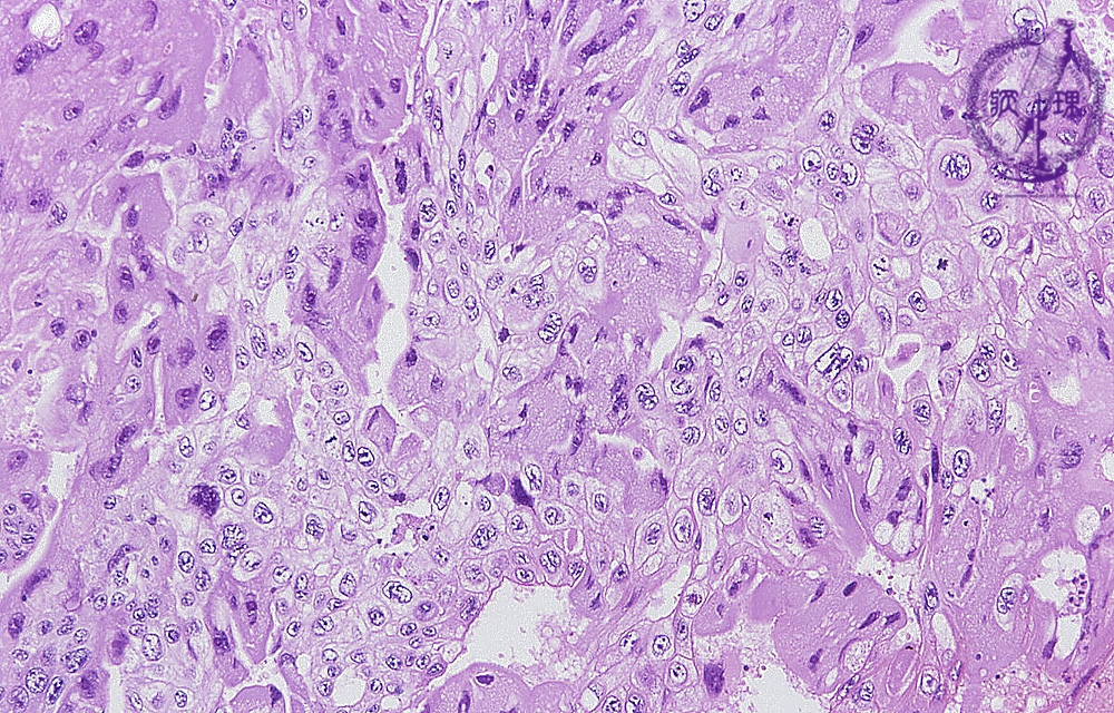
Histology (HE stain, low power):Multinucleated eosinophilic tumor cells mimicking syncytiotrophoblasts, (yellow dotted line) and tumor cells with clear cytoplasm mimicking cytotrophoblasts (blue dotted line) proliferate in sheet-like pattern. The former type of tumor cells produces and secretes human chorionic gonadotropin (h-CG) as identified by IHC (see below).
Click the image to see the enlarged image.












