- 15.Female genital organs
- (14)Choriocarcinoma
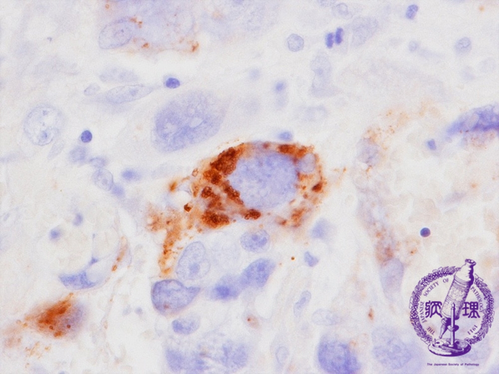
Histology (Immunohistochemistry, human chorionic gonadotropin (h-CG), high power): Cytoplasm of tumor cell immunohistochemically positive for h-CG.
Click the image to see the enlarged image.
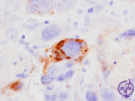
Histology (Immunohistochemistry, human chorionic gonadotropin (h-CG), high power): Cytoplasm of tumor cell immunohistochemically positive for h-CG.
Click the image to see the enlarged image.