- 16.Male genital organs
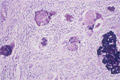
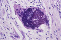
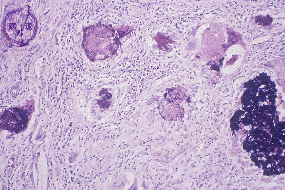
- (3)Sperm granuloma
Histology (HE stain, intermediate power): Accompanied by chronic inflammatory cells infiltration, granulomatous reaction with foreign body giant cells (black arrow) is identified. This granulomatous reaction dues to the extravasation of spermatozoa outside the tubules in epididymis. It formes about 1 cm nodule. Trauma, epididymitis or vasoligation can induce this pathology.
Click the image to see the enlarged image.












