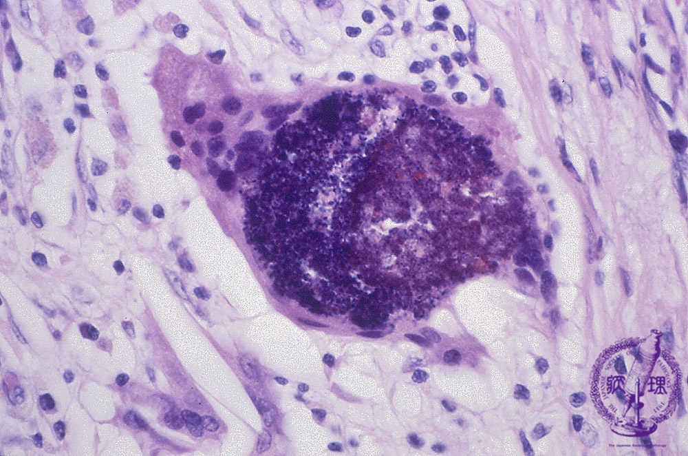
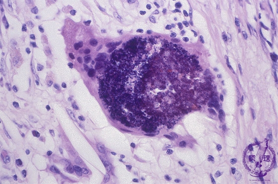
Histology (HE stain, high power): Numerous elongated nuclei of spermatozoa are phagocytized in foreign body giant cell.

Click the image to see the enlarged image.

  • There is no guidance by arrows.