- 16.Male genital organs
- ★(4)Seminoma (Germ cell tumor)
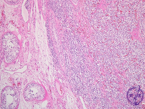
Histology (HE stain, low power): Large tumor cells proliferated in a solid pattern. On the left side of yellow dotted line, testicular tissues including seminiferous tubules (red dotted line) are compressed by tumor growth.
Click the image to see the enlarged image.














