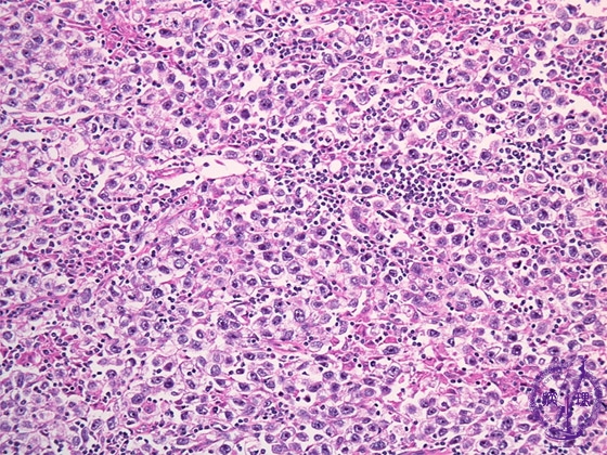
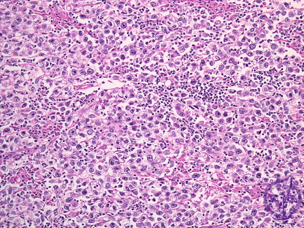
Histology (HE stain, intermediate power): Seminoma. Large rounded tumor cells have clear cytoplasm and glycogen in their cytoplasm.

Click the image to see the enlarged image.

  • There is no guidance by arrows.