- 16.Male genital organs
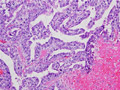
- (5)Embryonal carcinoma
Macroscopic appearance: Most of testicular tissue is replaced by ill-defined tumor containing hemorrhage and necrosis. This is prevalent in the 20 to 30s. Pure embryonal carcinoma is at present considered rather rare and usually coexists with other germ cell tumor component.
Click the image to see the enlarged image.









