- 16.Male genital organs
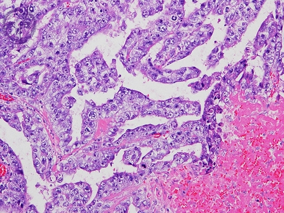
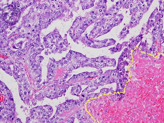
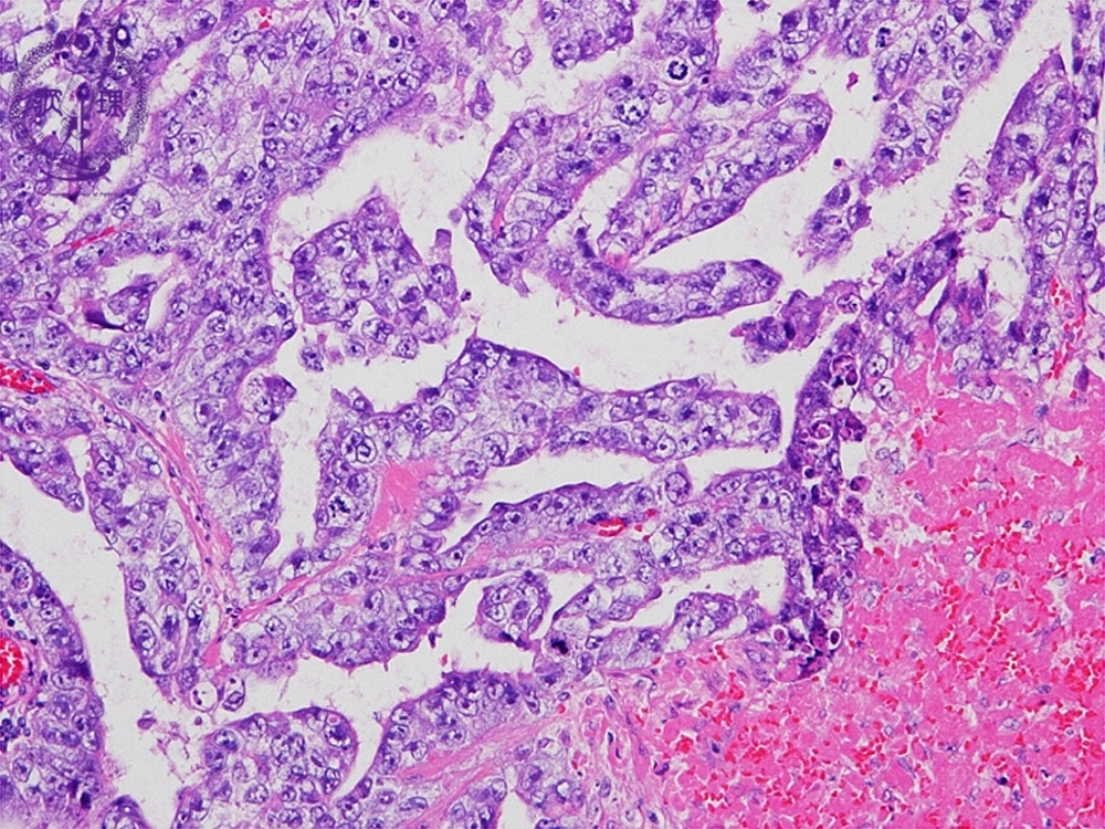
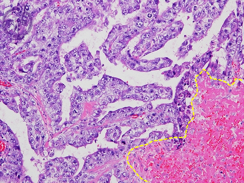
- (5)Embryonal carcinoma
Histology (HE stain, high power): Cuboidal or columnar epithelial tumor cells with severe atypia proliferate in papillary or tubular structure. Hemorrhage and necrosis are seen below yellow dotted line.
Click the image to see the enlarged image.












