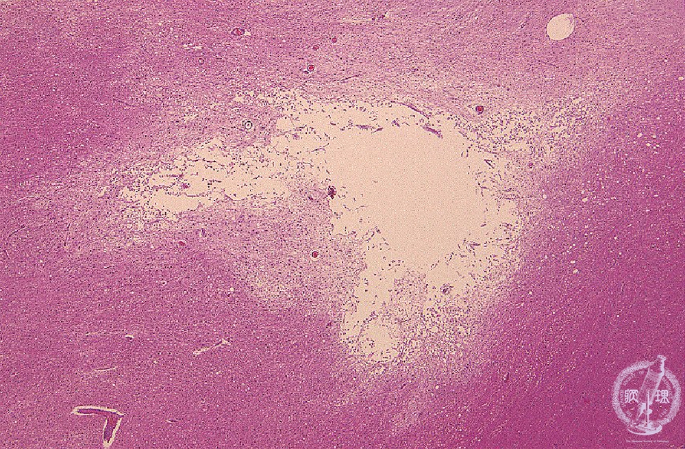
Microscopic findings (H.E. low magnification): Old infarction demonstrated destruction of the brain parenchyma with cavitation and accumulation of many macrophages as a result of liquefactive necrosis.

Click the image to see the enlarged image.

  • There is no guidance by arrows.