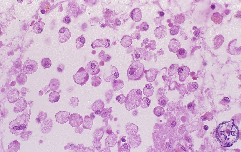
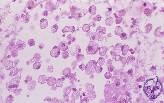
Microscopic findings (H.E. high magnification): Macrophages demonstrated foamy appearance by phagocytosis of the lipid-rich necrotic debris.

Click the image to see the enlarged image.

  • There is no guidance by arrows.