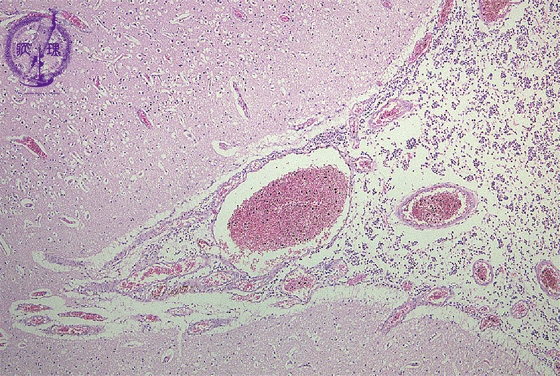
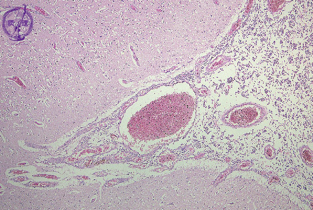
Microscopic findings (H.E. low magnification): Extensive infiltration of inflammatory cells detected in the subarachnoidal spaces but not in the cortex.

Click the image to see the enlarged image.

  • There is no guidance by arrows.