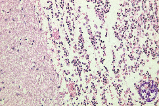
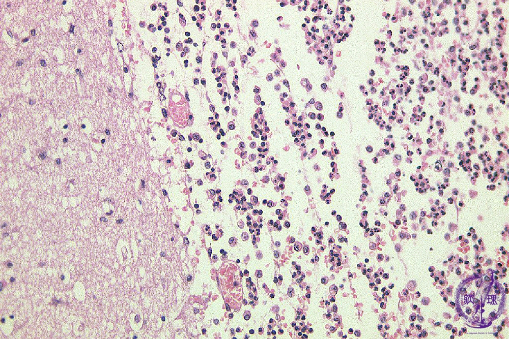
Microscopic findings (H.E. high magnification): Infiltrating inflammatory cells were mainly neutrophils and macrophages.

Click the image to see the enlarged image.

  • There is no guidance by arrows.