- 17.Nervous system
- ★(5)Parkinson disease
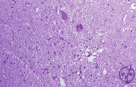
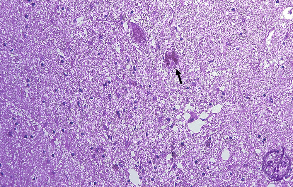
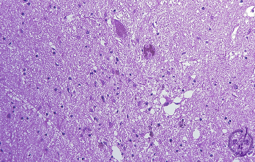
Microscopic findings (H.E. middle magnification): Melanin-containing neurons of substantia nigra were decreased in number and remaining neurons contained Lewy bodies in their cytoplasm (arrow). Melanin pigmentation identified in the substance of the areas in which neurons disappeared.
Click the image to see the enlarged image.













