- 17.Nervous system
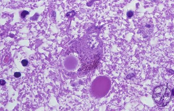
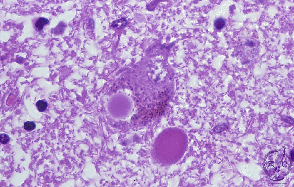
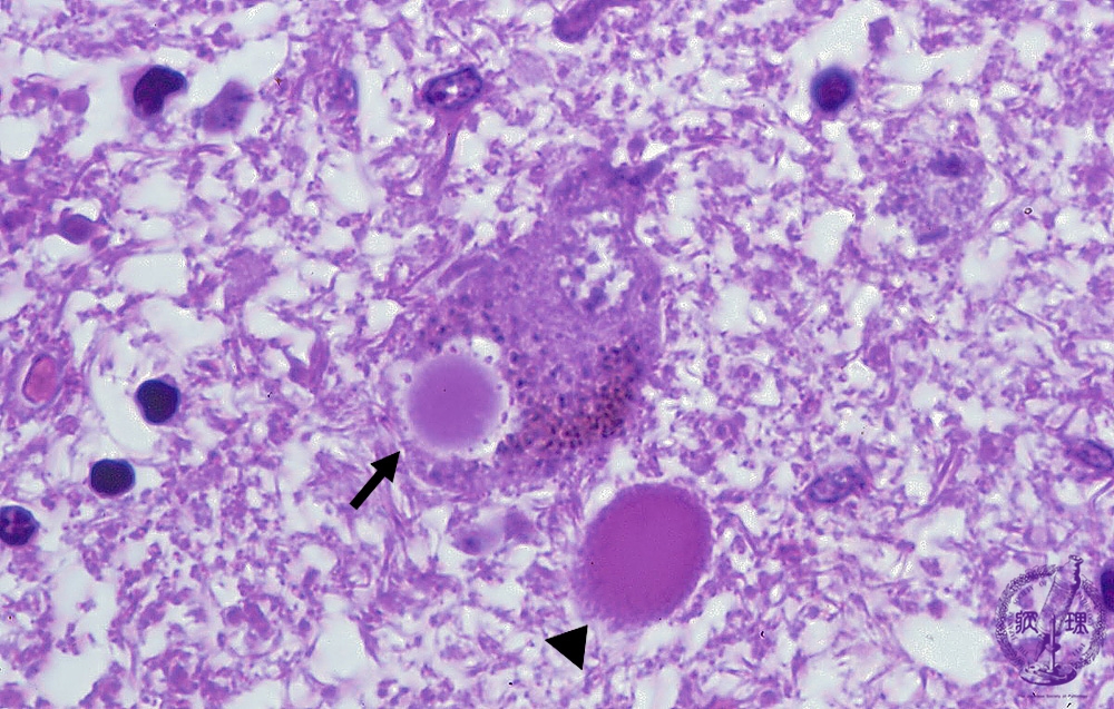
- ★(5)Parkinson disease
Microscopic features (HE high power field) Eosinophilic circular shaft as well as Lewy body were identified in the cytoplasm of neuromelanin- containing neural cells ( arrows ). Lewy body also identified in the neurites ( arrow head)
Click the image to see the enlarged image.













