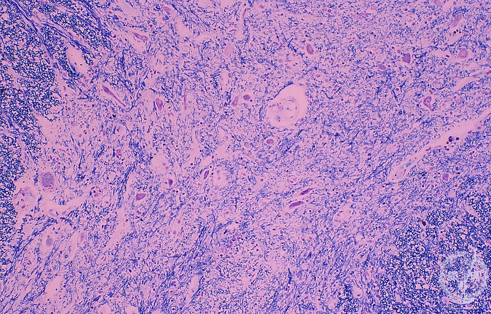
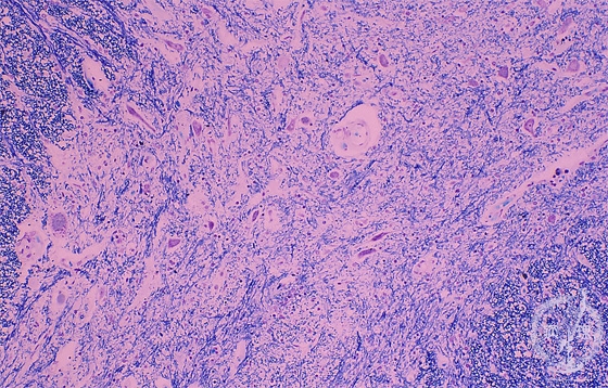
Microscopic findings (H.E. low magnification): The number of anterior-horn neurons was reduced with marked gliosis. Remaining neurons were atrophic.

Click the image to see the enlarged image.

  • There is no guidance by arrows.