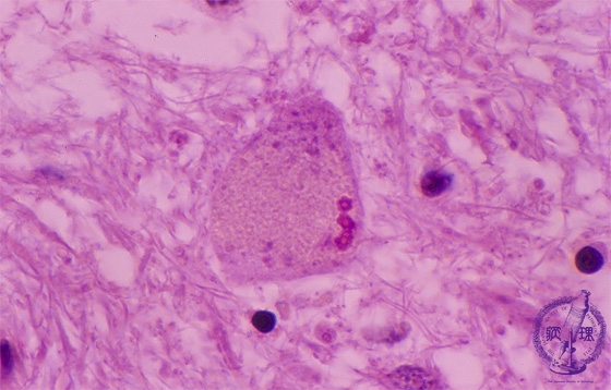
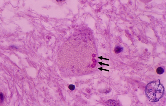
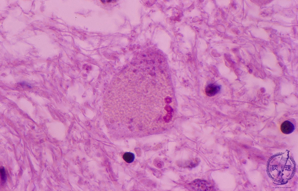
- 17.Nervous system
- (7)Amyotrophic lateral sclerosis (ALS)
Microscopic findings (H.E. high magnification): Eosinophilic granular inclusion bodies, namely Bunina bodies, were sometimes identified in the remaining degenerative anterior-horn neurons (arrow).
Click the image to see the enlarged image.













