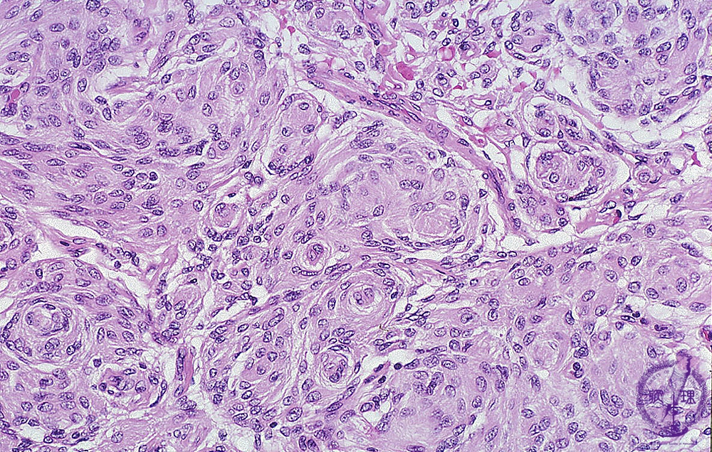
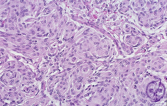
Microscopic findings (H.E. high magnification): Meningothelial meningioma showed a proliferation of tumor cells with round nuclei and unclear cellular junctions. Whorl formation of the tumor cells was seen in a scattered pattern within the tumor nests.

Click the image to see the enlarged image.

  • There is no guidance by arrows.