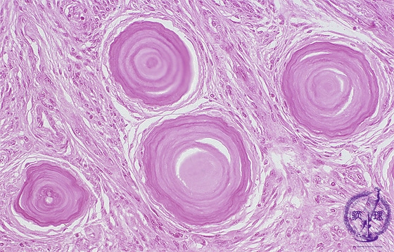
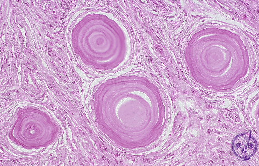
Microscopic findings (H.E. middle magnification): Psammomatous meningioma showed a proliferation of elongated tumor cells with fibrous bundles. Lamellar calcified bodies, namely psammoma bodies, were seen in a scattered fashion.

Click the image to see the enlarged image.

  • There is no guidance by arrows.