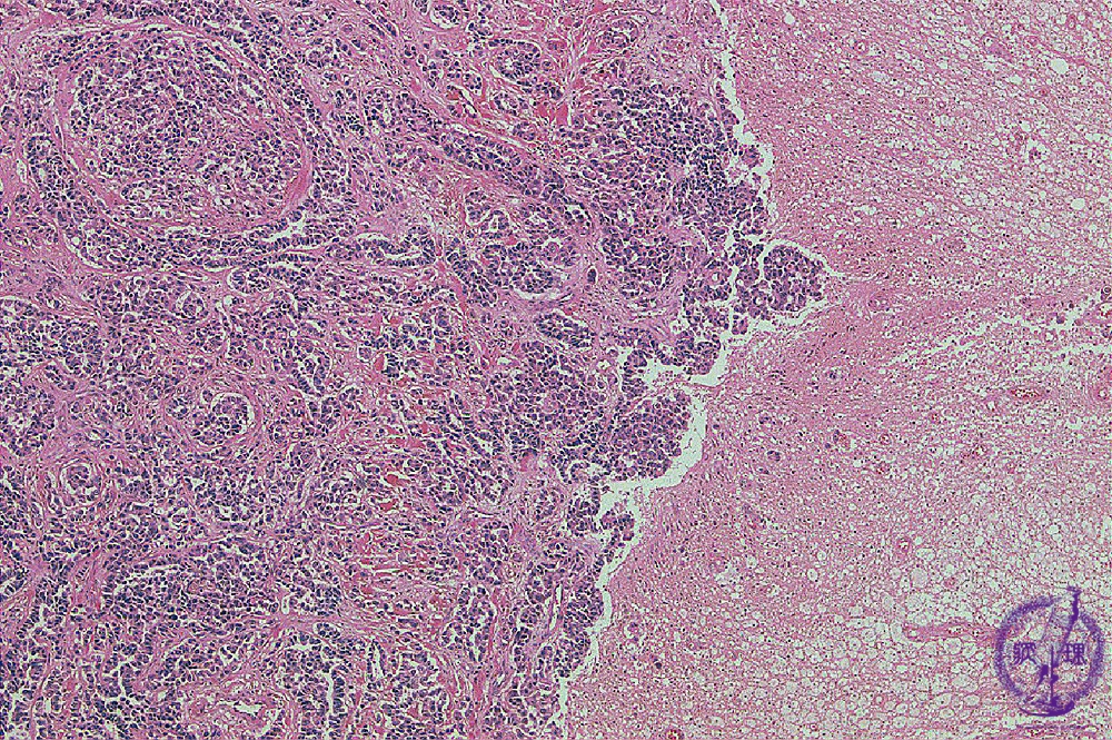
Microscopic findings (H.E. low magnification): Atypical epithelial cells showing glandular structures invaded into the cerebral parenchyma, but the invasive front was clear.

Click the image to see the enlarged image.

  • There is no guidance by arrows.