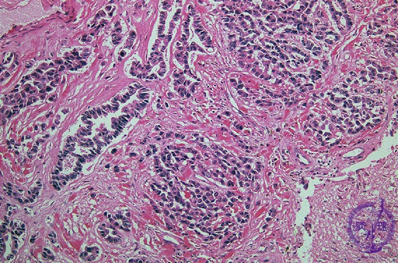
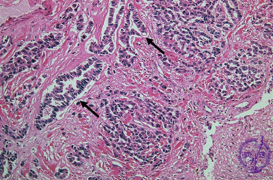
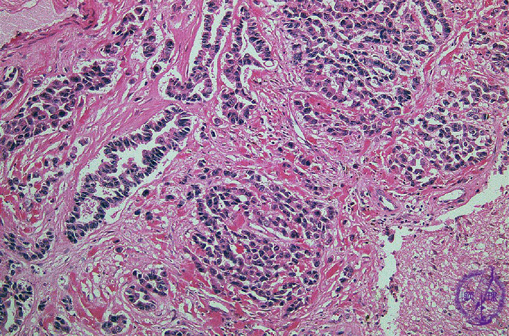
- 17.Nervous system
- (10)Metastatic brain tumor
Microscopic findings (H.E. high magnification): Tumor cells showed apparent glandular structures (arrows), indicating the brain metastasis of adenocarcinoma (from lung).
Click the image to see the enlarged image.













