- 18.Soft tissue
- (8)Synovial sarcoma
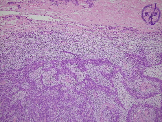
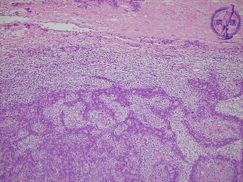
Microscopic findings (H.E. low power view): Synovial sarcoma arising in soft tissue around the major joints. Biphasic type with both mesenchymal (upper) and epithelial (lower) elements, but a monophasic type with an either element is also reported.
Click the image to see the enlarged image.












