- 18.Soft tissue
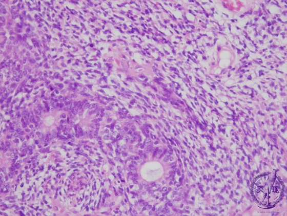
- (8)Synovial sarcoma
Microscopic findings (H.E. high power view): Tumor consisted of both epithelial and mesenchymal cells. Characteristic chromosomal translocation t(18;X) resulting in SYT-SSX fusion gene.
Click the image to see the enlarged image.












