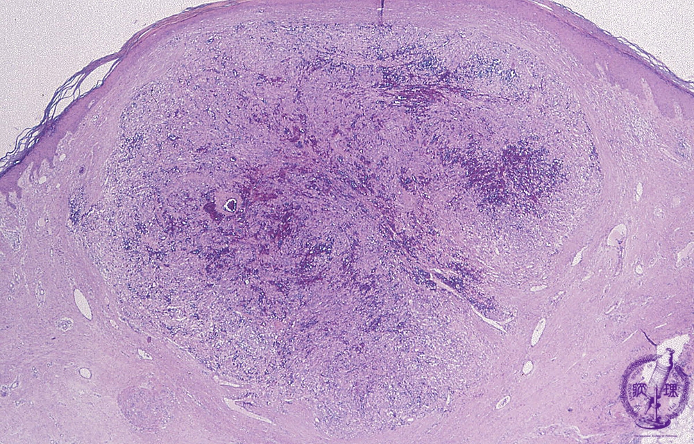
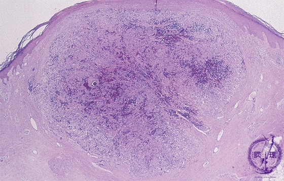
Microscopic findings (H.E. low power view): Kaposi sarcoma is occasionally associated with acquired immunodeficiency syndrome (AIDS). A relatively well circumscribedmass with a proliferation of spindle cells in bundles.

Click the image to see the enlarged image.

  • There is no guidance by arrows.