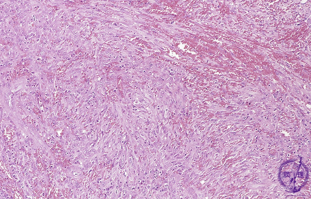
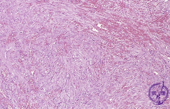
Microscopic findings (H.E. intermediate power view): Intercellular spaces contain red blood cells , mimicking blood vessels.

Click the image to see the enlarged image.

  • There is no guidance by arrows.