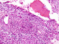
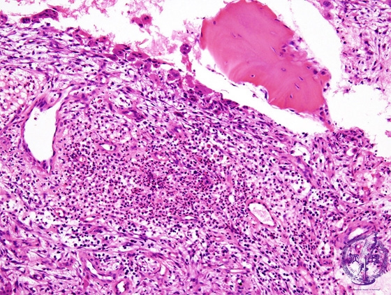
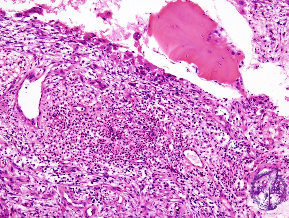
Microscopic view (HE: middle power view): Caused by bacterial infection. Significant neutrophilic infiltration is seen, with tiny bony trabeculae.

Click the image to see the enlarged image.

  • There is no guidance by arrows.