- 19.Bone, Joint
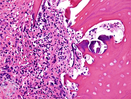
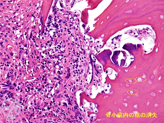
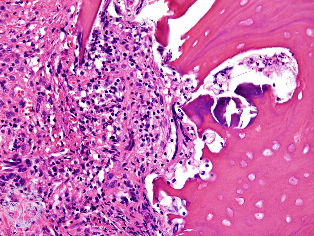
- (5)Suppurative osteomyelitis
Microscopic view (HE: high power view):Infiltration of neutrophils and fibrosis are seen. Bone is necrotic, with disappearance of the nuclei within the lacuna of the bone.
Click the image to see the enlarged image.












