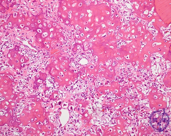
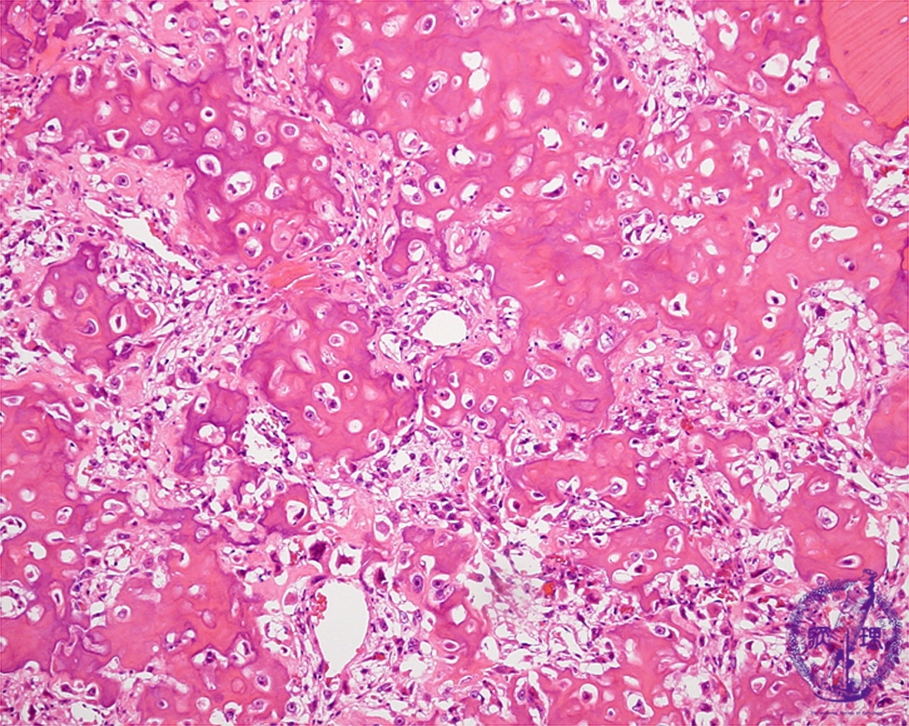
Microscopic view (HE; middle power view): Tumor cells with abundant hyperchromatic nuclei form eosinophilic amorphous osteoid.

Click the image to see the enlarged image.

  • There is no guidance by arrows.