- 19.Bone, Joint
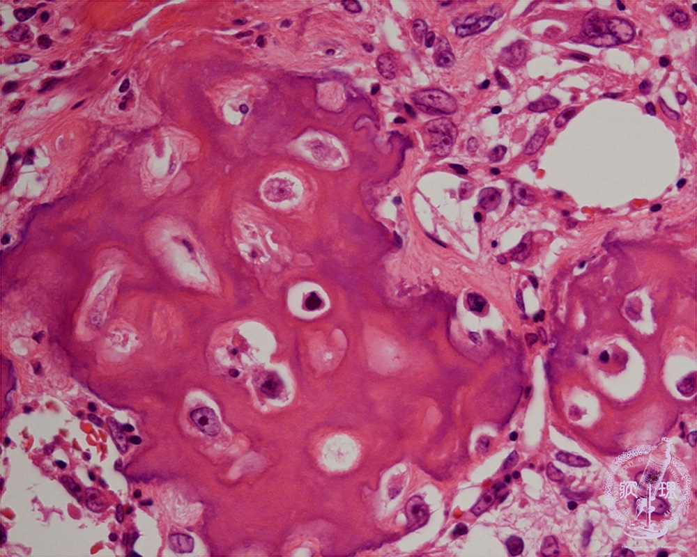
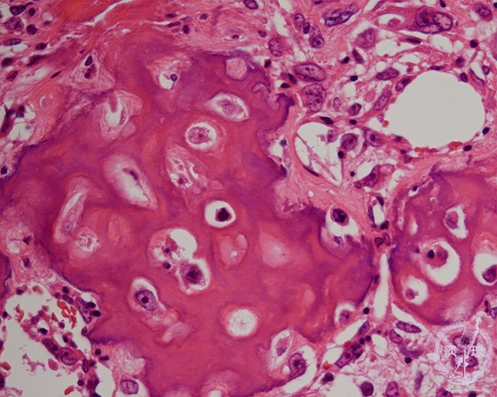
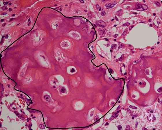
- ★(6)Osteosarcoma
Microscopic view (HE; high power view): Tumor is composed of osteoid with tumor cells with hyperplastic nuclei (within the frame).
Click the image to see the enlarged image.
Microscopic view (HE; high power view): Tumor is composed of osteoid with tumor cells with hyperplastic nuclei (within the frame).
Click the image to see the enlarged image.