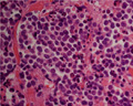
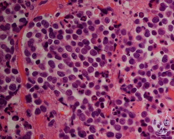
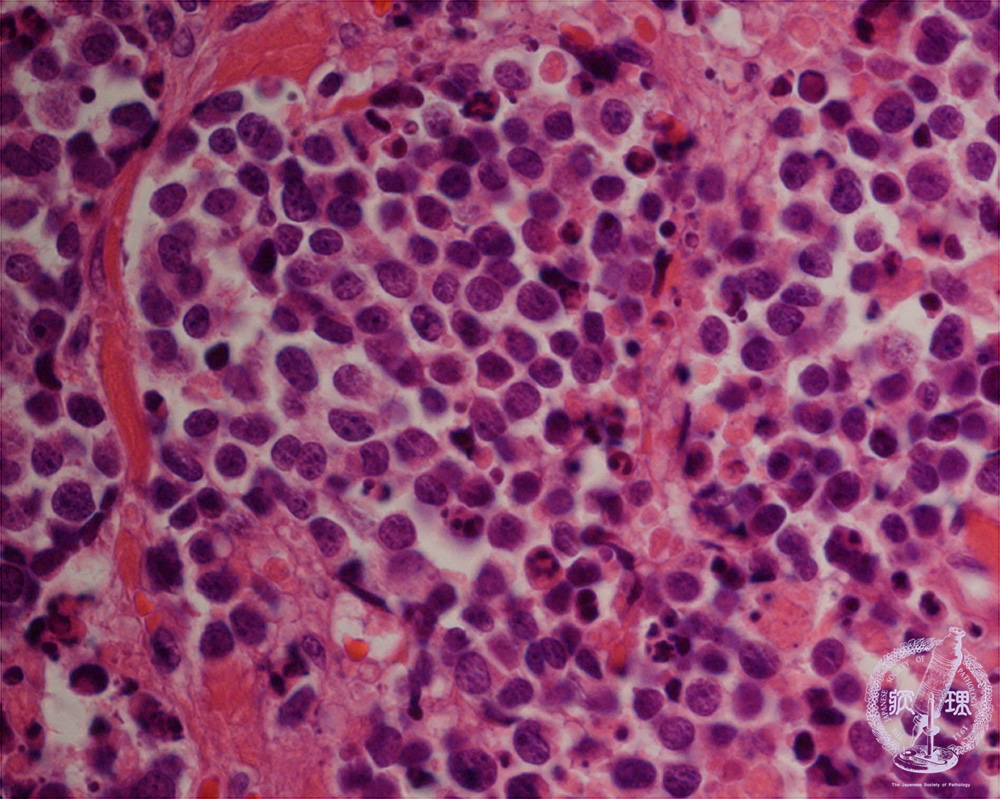
Microscopic view (HE; high power view): Tumor cells are round, nuclear chromatin is fine, and nucleoli are inconspicuous.

Click the image to see the enlarged image.

  • There is no guidance by arrows.