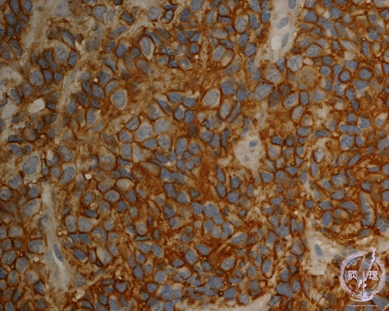
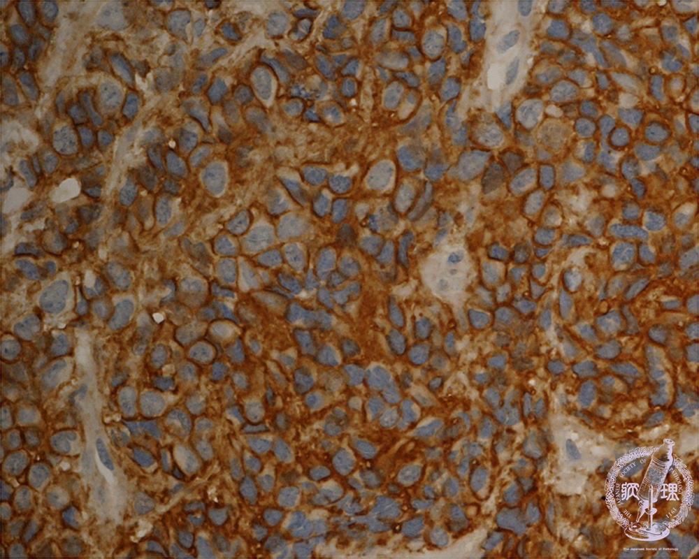
Microscopic view: CD99 (MIC2 gene products) immunostain: Strong positivity on the cell membrane of tumor cells.

Click the image to see the enlarged image.

  • There is no guidance by arrows.