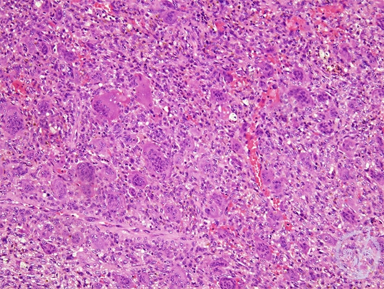
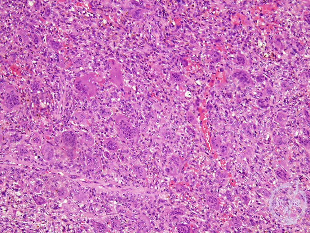
Microscopic view (HE; middle power view): Proliferation of the mixture of mononuclear and multinuclear cells.

Click the image to see the enlarged image.

  • There is no guidance by arrows.