- 19.Bone, Joint
- (9)Giant cell tumor of the bone
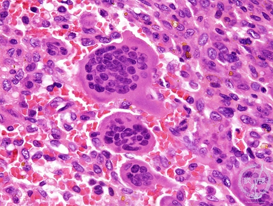
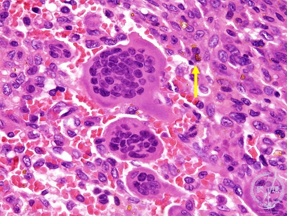
Microscopic view (HE; high power view): The number of the multiple nuclei is up to dozens. Hemosiderin deposition is also seen.
Click the image to see the enlarged image.
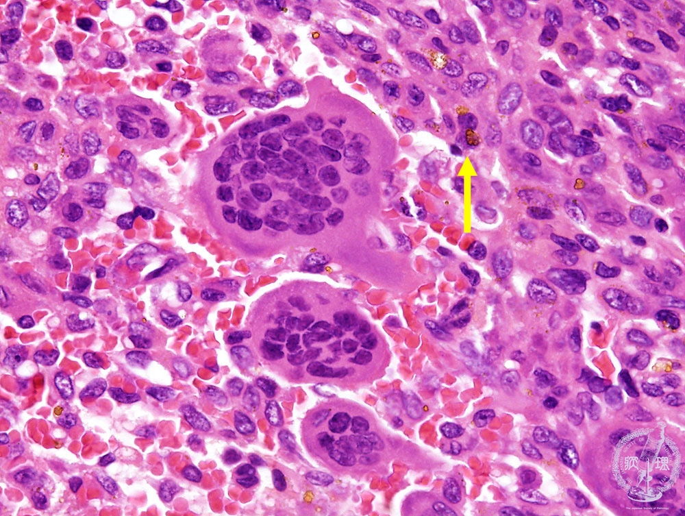
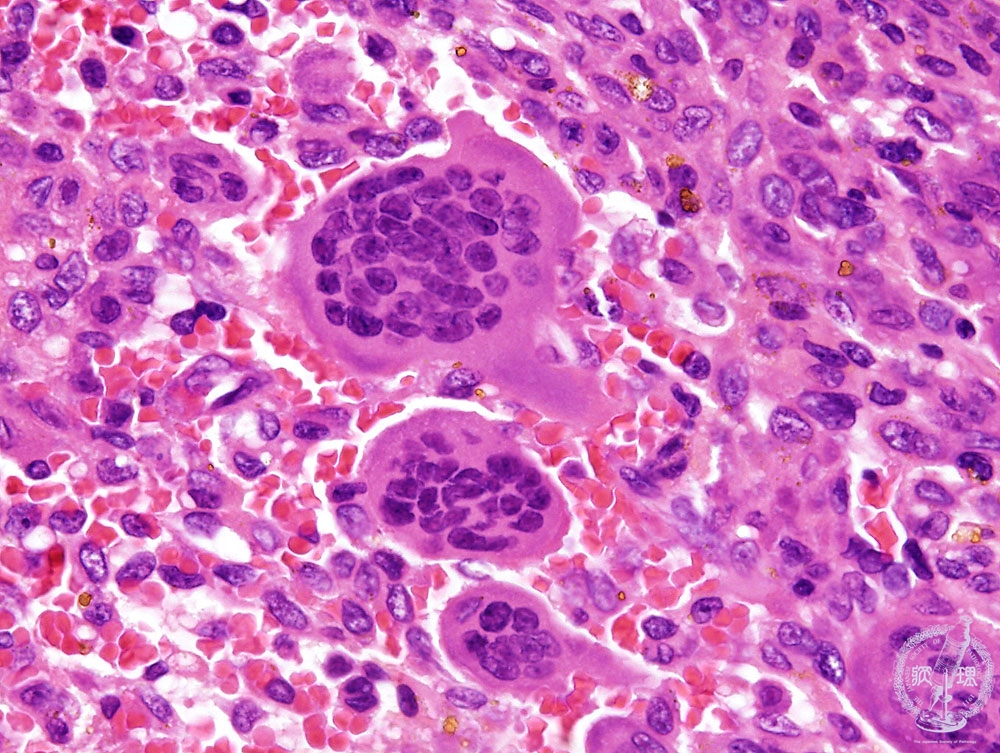
Microscopic view (HE; high power view): The number of the multiple nuclei is up to dozens. Hemosiderin deposition is also seen.
Click the image to see the enlarged image.