- 20.Skin
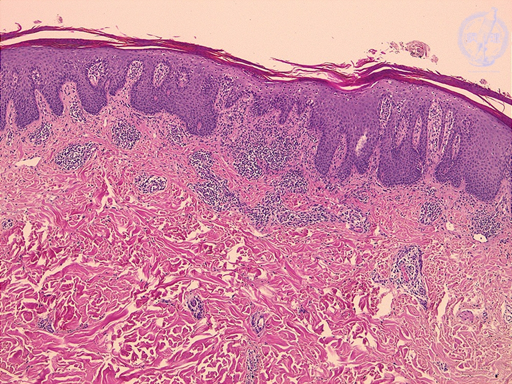
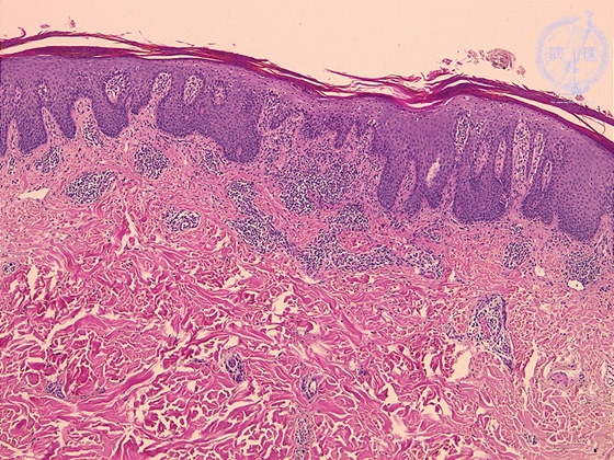
- ★(1)Psoriasis (Psoriasis vulgaris)
Microscopic image: The upper dermis shows perivascular lymphocytic infiltration. Rete ridges are elongated in a regular manner.
Click the image to see the enlarged image.
Microscopic image: The upper dermis shows perivascular lymphocytic infiltration. Rete ridges are elongated in a regular manner.
Click the image to see the enlarged image.