- 20.Skin
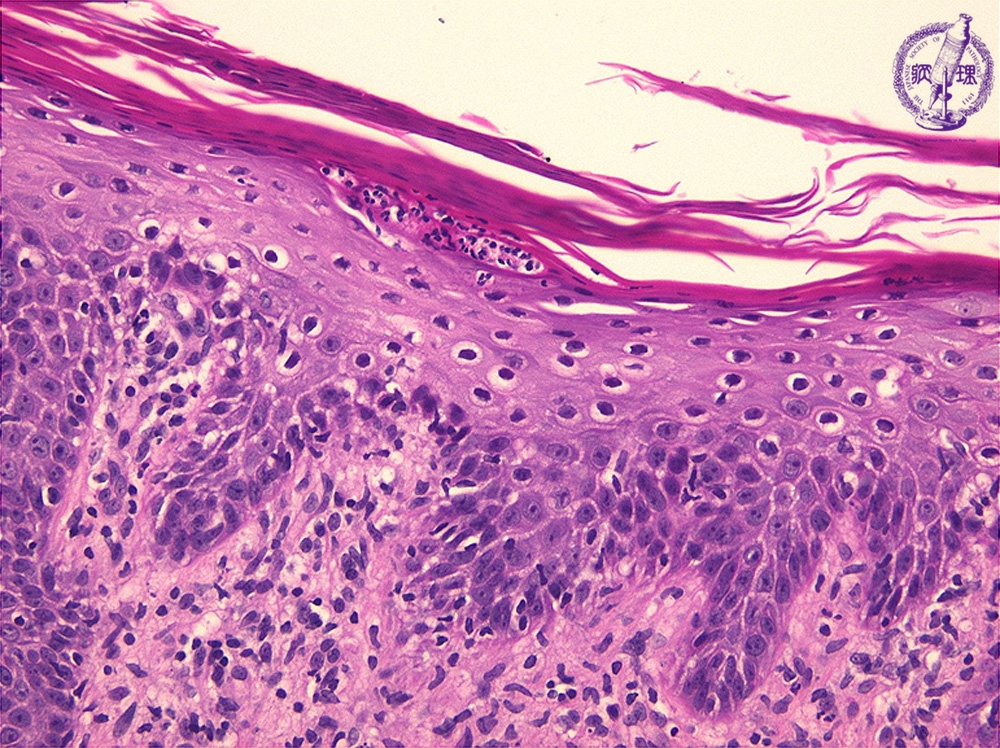
- ★(1)Psoriasis (Psoriasis vulgaris)
Microscopic image: Epidermis shows hyperkeratosis with aggregation of neutrophils (Munro’s microabscess)
Click the image to see the enlarged image.
Microscopic image: Epidermis shows hyperkeratosis with aggregation of neutrophils (Munro’s microabscess)
Click the image to see the enlarged image.