• 20.Skin
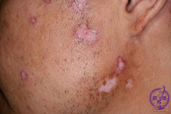
  • (3)Systemic lupus erythematosus (SLE)

Discoid rashes that affect face, auricle, head and flexor side of the joints are also characteristic.

Click the image to see the enlarged image.

  • There is no guidance by arrows.