- 20.Skin
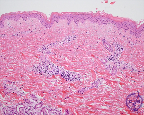
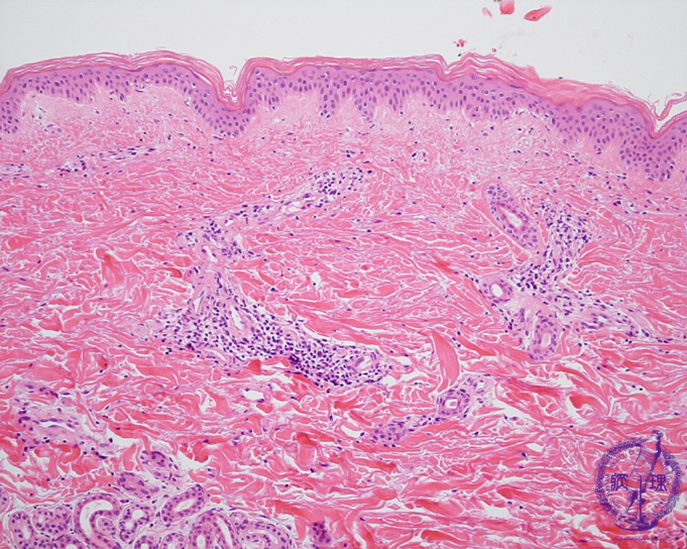
- (3)Systemic lupus erythematosus (SLE)
Microscopic findings: H&E shows nonspecific histologic findings. This case shows edematous change at the epidermal-dermal junction that corresponds to immune complex deposition (positive for Lupus band test). This case also shows mildly superficial perivascular dermatitis.
Click the image to see the enlarged image.













