- 20.Skin
- (5)Melanocytic nevus (intradermal, junctional, compound)
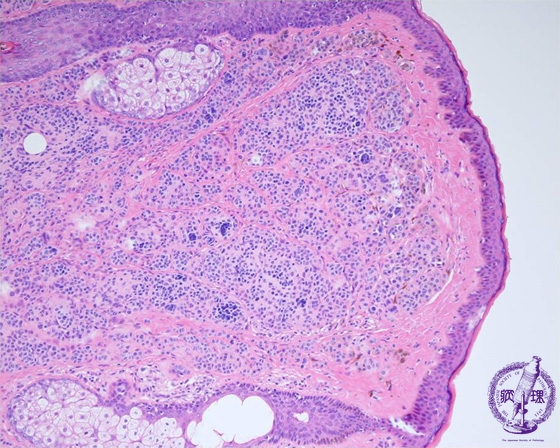
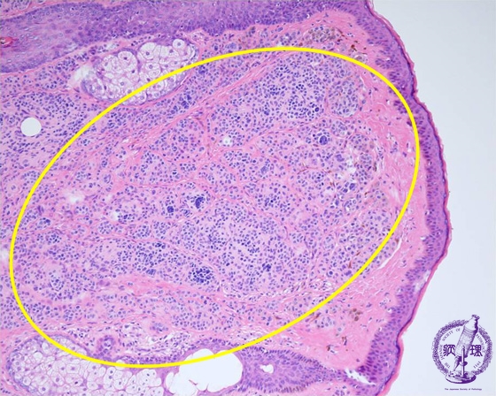
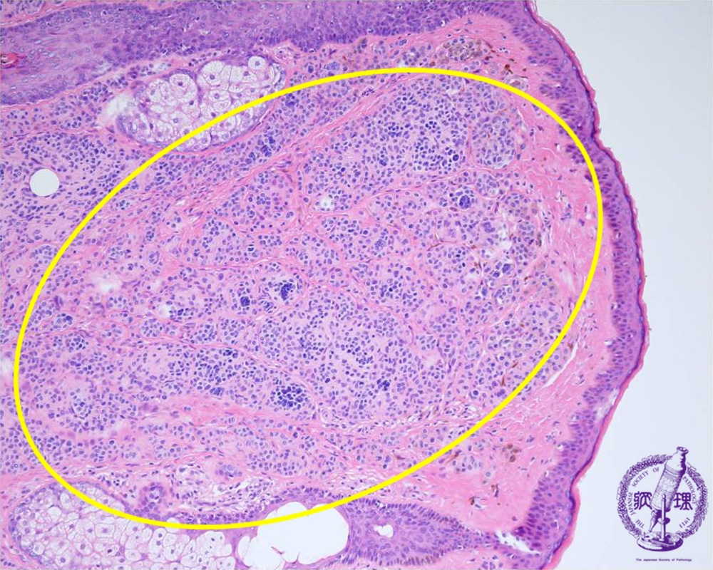
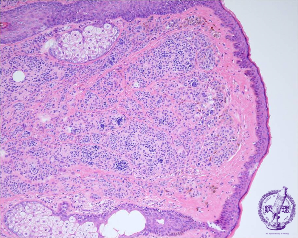
Microscopic findings: Nevus cells scatter in the dermis (inside of a circle). Nevus cells are suggested to be induced by incomplete differentiation. They are related to the melanocytes and Schwann cells.
Click the image to see the enlarged image.













