- 20.Skin
- (5)Melanocytic nevus (intradermal, junctional, compound)
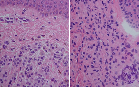
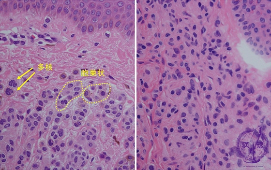
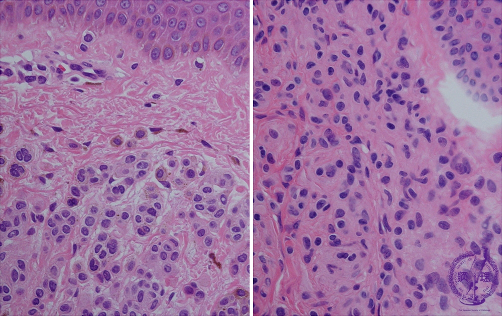
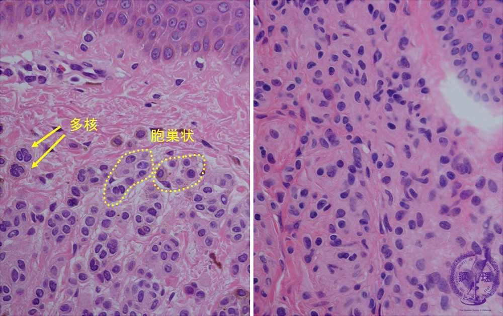
Nevus cells form nests at the superficial dermis. Sometimes multinuclear nevus cells also exist (left). At the deep dermis, smaller nevus cells scatter. Cytoplasmic border of the nevus cells are obscure.
Click the image to see the enlarged image.













