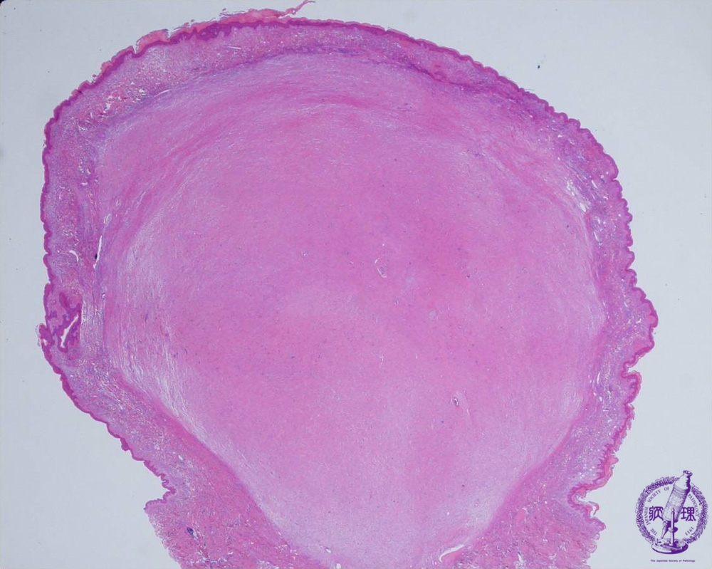
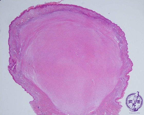
Microscopic findings: Tumor cells show diffuse proliferation. The tumor shows expansive growth and the border of the tumor is relatively clear. Sometimes skin appendages remain inside the tumor.

Click the image to see the enlarged image.

  • There is no guidance by arrows.