- 20.Skin
- ★(6)Neurofibroma
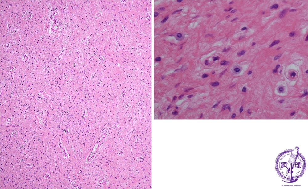
Spindle cells proliferation admixed with delicate collagen fibers are seen. Capillary vessels and mast cells area also seen (right, arrow).
Click the image to see the enlarged image.
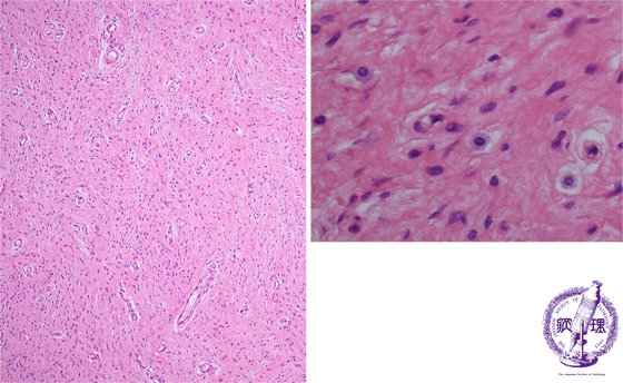
Spindle cells proliferation admixed with delicate collagen fibers are seen. Capillary vessels and mast cells area also seen (right, arrow).
Click the image to see the enlarged image.