- 20.Skin
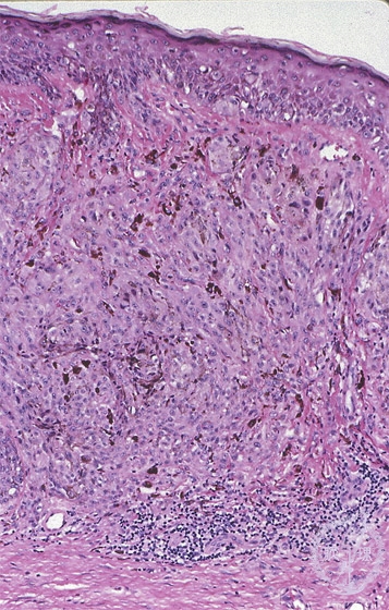
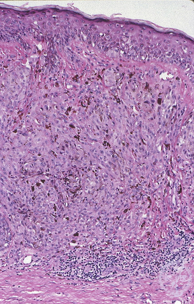
- ★(10)Malignant melanoma
Microscopic findings: Primary lesions show intraepidermal spread. Tumor cells usually have melanin pigments which is reflected in a macroscopic black color. Characteristic of these lesions and different from benign melanocytic nevus melanin pigmentation is also seen in the deep (distal to skin surface) area.
Click the image to see the enlarged image.













