- 20.Skin
- ★(10)Malignant melanoma
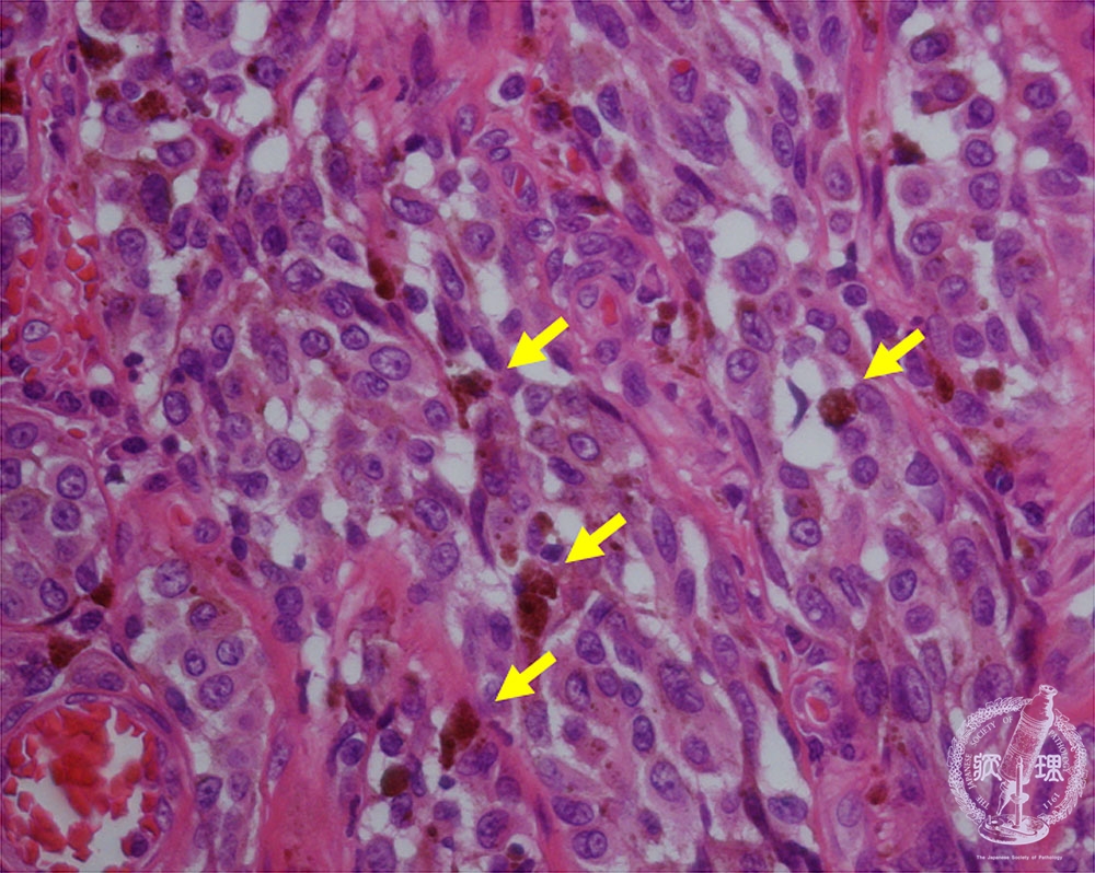
Atypical melanocytes proliferate with anisokaryosis and large nucleoli. Melanin-production is usually but not necessarily seen (arrow).
Click the image to see the enlarged image.
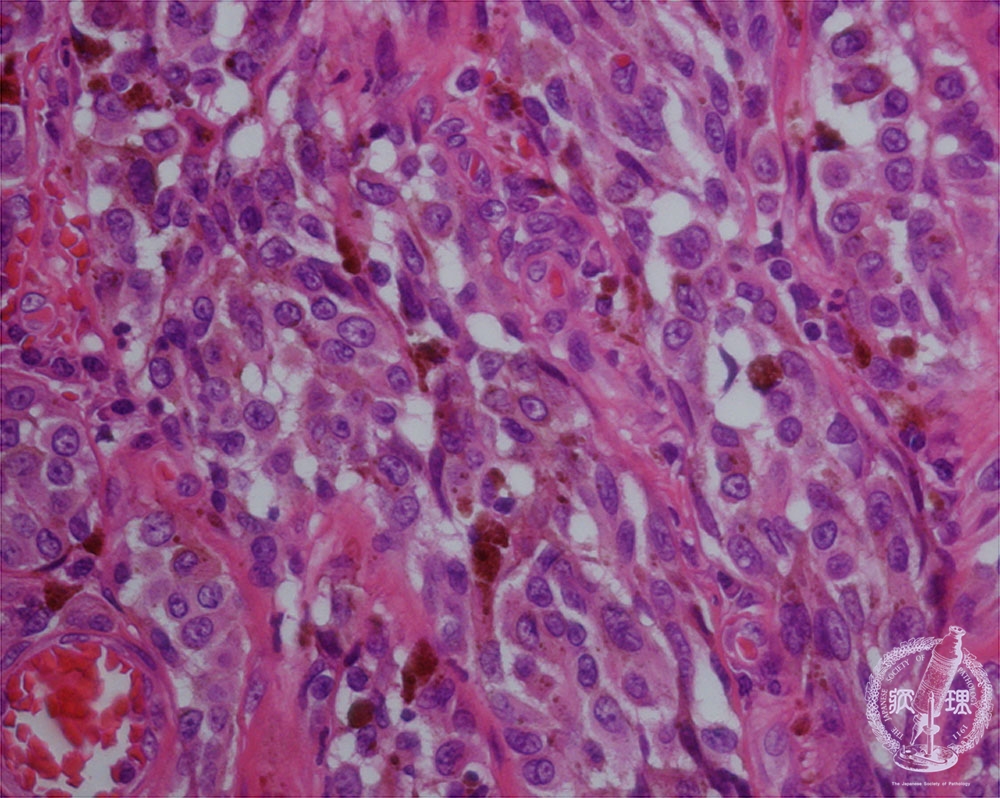
Atypical melanocytes proliferate with anisokaryosis and large nucleoli. Melanin-production is usually but not necessarily seen (arrow).
Click the image to see the enlarged image.