- 20.Skin
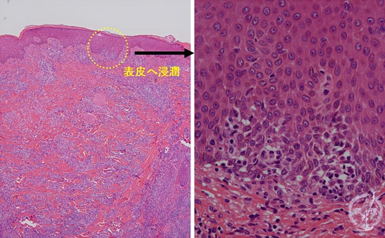
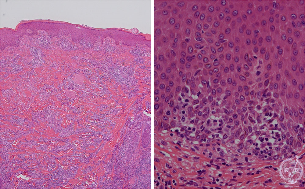
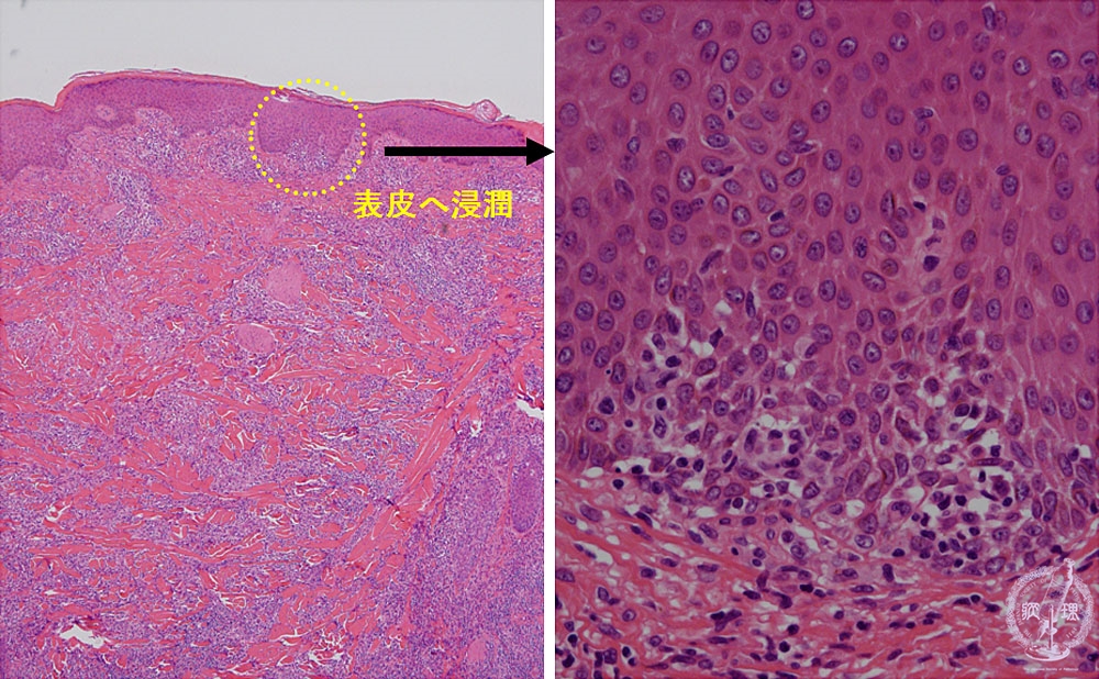
- (11)Malignant lymphoma of the skin (Mycosis fungoides)
Microscopic findings: In advanced stage (tumor stage), lymphoma cells are diffusely seen in the dermis with epidermotropism (inside the circle).
Click the image to see the enlarged image.













